2023.08.02
抗がん剤全般による間質性肺炎の対処法
(PDF版ではレイアウトが異なりますが、同じ内容です。)
- 副作用
- 間質性肺炎
- 頻発抗がん剤
- 抗がん剤全般
好発時期・初期症状項目の開閉
好発時期
- 機序は明確ではないが下記が推定されており、それによって発現時期の傾向も異なる。ただし、がん種や薬剤によって幅があるので、詳細は各薬剤の適正使用ガイド等を確認する。
- 薬剤による細胞障害機序(直接的な障害) : 数週~数年と発生時期に幅がある。投与量や投与期間に相関する。
- 薬剤に対する免疫反応機序(間接的な障害) : 数週間以内に発生する。投与量との相関はないため、初回投与でも発生しうる。
特徴
- 間質(肺胞壁)の炎症・線維化により、肺胞壁が肥厚して酸素が取り込みにくくなり、呼吸困難となる。
- 下記のような症状や所見がみられるが、間質性肺障害に特異的なものではなく、膠原病等の増悪、感染症、心不全などによる症状との鑑別も重要である。
- 自覚症状 : 息切れ(呼吸困難)、乾性咳嗽、発熱 など
- 身体所見 : 捻髪音(fine crackles)、SpO2低下 など
- 血液検査所見 : 間質性肺炎マーカー(KL-6, SP-A, SP-D)、白血球、CRP、LDH上昇 など
- 画像検査所見 : 胸部X線、胸部CTによるすりガラス影、浸潤影などの確認
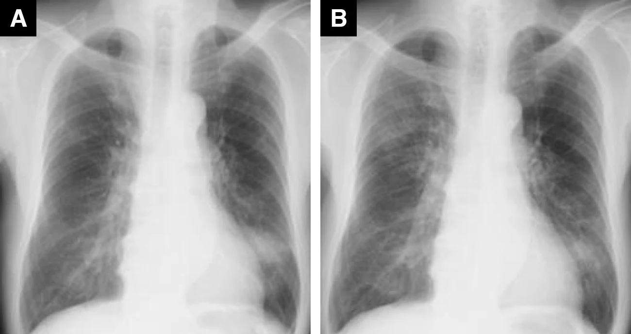
(画像検査所見の参考)
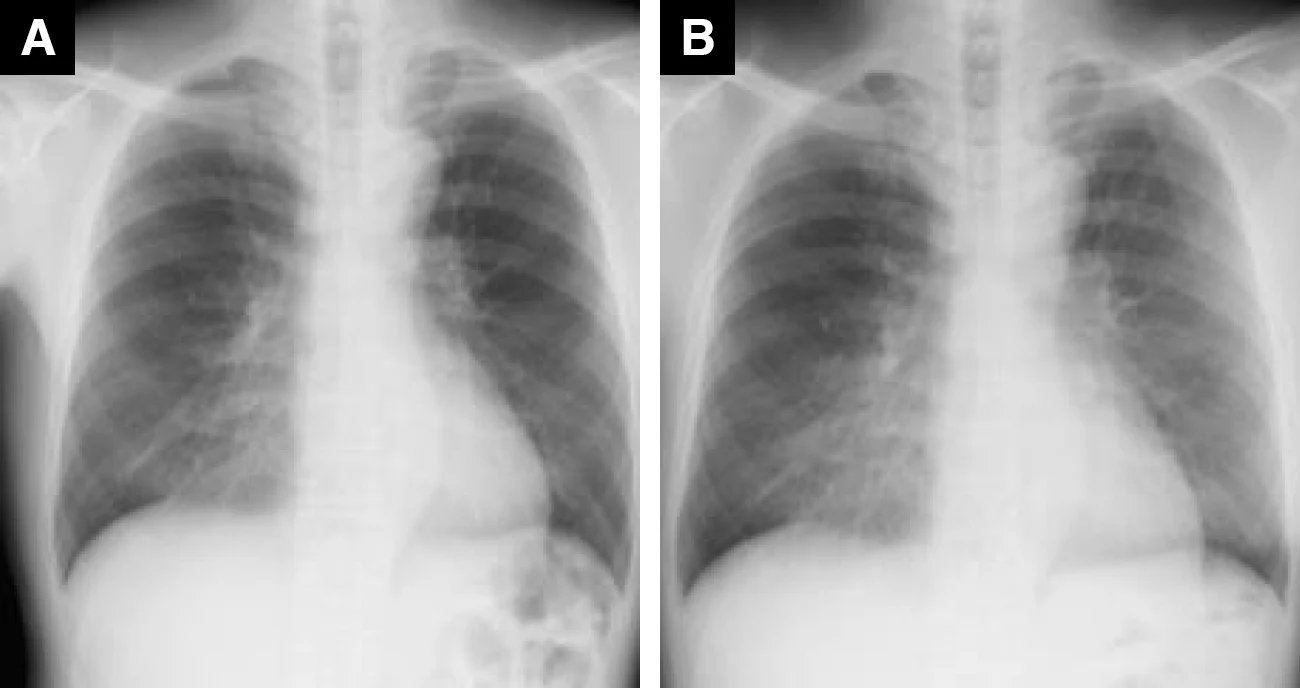
ドセタキセル投与症例(63歳、男性、乳がん)

A : 薬剤投与前 B : 薬剤投与後(紹介時)
Bでは極めて軽微ではあるが、両肺にすりガラス影を認めた

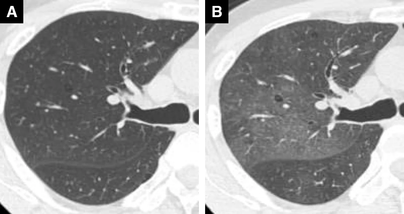
A : 薬剤投与前 B : 薬剤投与後(紹介時)
Bでは広範囲のすりガラス影がみられ、HP(過敏性肺炎)パターンと考えられた
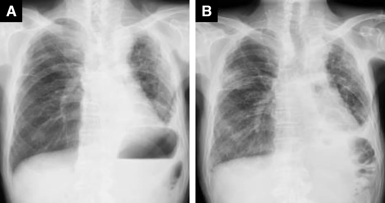
ゲフィチニブ投与症例(82歳、男性、肺腺がん)

A : 薬剤投与前 B : 薬剤投与後(紹介時)
Bでは広範囲のすりガラス影~微細粒状影の出現を認めた

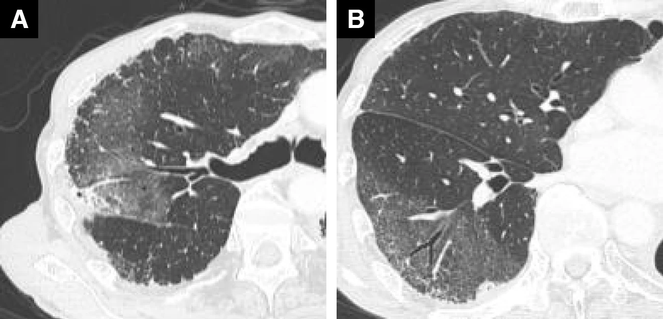
A、B : 薬剤投与後(紹介時)
非区域性に広がるすりガラス影のなかに牽引性気管支拡張所見がみられ、DAD(びまん性肺胞障害)パターンを呈していた
ペムブロリズマブ投与症例(72歳、男性、肺腺がん)

A : 薬剤投与前 B : 薬剤投与4ヵ月後
Bでは右上肺野に新たな浸潤影の出現がみられた

A、B : 薬剤投与4ヵ月後
胸膜に接する非区域性の浸潤影(A)や、reverse halo signを伴う濃厚影(B)を認め、OP(器質化肺炎)パターンを呈していた
- 厚生労働省 重篤副作用疾患別対応マニュアル 間質性肺炎(肺臓炎、胞隔炎、肺線維症) 平成18年11月(令和元年9月改定)より引用
- すべての抗がん剤(殺細胞性抗がん剤、分子標的薬、免疫チェックポイント阻害剤)で発症する可能性がある。患者の状態やがん種、併用薬などによって頻度は異なるため、詳細は各薬剤の添付文書等を確認する。
(原因薬剤の一例)- 殺細胞性抗がん剤 : ブレオマイシン、ペプロマイシン、ドセタキセル、ゲムシタビン
- 分子標的薬 : EGFR-TKI(ゲフィチニブ、エルロチニブなど)、mTOR阻害薬(エベロリムス、テムシロリムスなど)、プロテアソーム阻害薬(ボルテゾミブ)
- 免疫チェックポイント阻害剤 : ニボルマブ、ペムブロリズマブ、アテゾリズマブ、デュルバルマブ
- 参考:
- 厚生労働省. : 重篤副作用疾患別対応マニュアル 間質性肺炎(肺臓炎、胞隔炎、肺線維症). 平成18年11月(令和元年9月改定)
- 免疫チェックポイント阻害剤 : ニボルマブ、ペムブロリズマブ、アテゾリズマブ、デュルバルマブ。ニボルマブに関する臨床試験の解析では170例中20例に間質性肺炎が認められ、そのうち18例(90%)が特発性器質化肺炎(COP)・非特異性間質性肺炎(NSIP)・過敏性肺炎(HP)、2例(10%)が急性間質性肺炎/急性呼吸促迫症候群(AIP/ARDS)であり、予後不良のものは少なかった。
- 参考:
- Nishino M, et al.: Clin Cancer Res. 2016; 22: 6051-60.
対処・予防方法項目の開閉
- ※現時点での各薬剤の保険適応については
個別に確認が必要
予防
- 確立された予防法はないが、早期治療のために、治療開始前及び投与中の肺機能評価や患者指導をすることが重要である。
- 肺機能評価 : 聴診、胸部X線、SpO2の測定、間質性肺炎マーカーベースラインの確認など。各薬剤の添付文書や適性使用ガイドも確認する。
- 患者指導 : 間質性肺障害発現の可能性について説明し、初期症状(息切れ(呼吸困難)、乾性咳嗽、発熱)が認められた場合は、すぐに医療スタッフに連絡するように指導する。なお、喫煙はリスクとなるため禁煙を徹底する。
治療
- 被疑薬は投与中止が基本となるが、エベロリムスやアテゾリズマブなど一部の薬剤においては無症状、軽症であれば投与継続できる可能性もある。詳細は各薬剤の添付文書や適性使用ガイドを確認する。
- 臨床像や発症機序により治療法が選択されることもあるが、判別が困難なことも多く、一般的にはステロイドを用いた治療が行われる。
(投与の例)- 重症例 : ステロイドパルス療法(メチルプレドニゾロン500~1,000mg/日×3日間)後、維持療法(プレドニゾロン0.5 ~1.0mg/kg/日)を実施し、漸減する。
- 中等症例 : プレドニゾロン0.5 ~1.0mg/kg/日で継続投与し、漸減する。
- 免疫チェックポイント阻害剤による間質性肺障害においては、重症例において免疫抑制薬の使用などが検討されることもあるが、臨床的な意義は確立していない。
- 再投与は原則行わないが、患者の状態、症状の程度、リスク因子など考慮の上で判断される。
- 有害事象共通用語規準 v5.0 日本語訳JCOG版
リスク因子
- 一般的に「間質性肺炎の既往」がリスク因子となる。薬剤によって異なるが、高齢、男性、喫煙、低肺機能、低栄養などもリスク因子となりうる。
- 下記のように、リスク因子が知られている薬剤もある。
- ブレオマイシン:60歳以上の高齢者、肺に基礎疾患を有する患者、総投与量(150mg以下で6.5%、151~300mgで10.2%、301mg以上で18.8%)、胸部放射線照射既往の患者(禁忌)
- ゲフィチニブ:喫煙歴有、全身状態の悪い患者、本剤投与時の間質性肺炎の合併、化学療法歴有
- 参考:
- 厚生労働省.:重篤副作用疾患別対応マニュアル 間質性肺炎(肺臓炎、胞隔炎、肺線維症). 平成18年11月(令和元年9月改定)
がん専門薬剤師から患者さんへの話し方(わたしの場合)項目の開閉
症状について
- 鑑別すべき疾患を考慮し、患者背景を踏まえて咳の特徴を説明する。
- 気管支喘息 : 冷気などの刺激により発現し、日内変動がある
- COPD : 湿性咳嗽が多い
- 間質性肺炎 : 持続的に症状が発現し、乾性咳嗽が多い
- 咳の性状を正確に聴取するためには、自宅での体調やVital Signの確認をすることが有用であるため、記録と報告を指導する。
- 「声がれ」、「声に張りがない」、「いつもより声が小さく元気がない」、「息を吸っている感じがしない」なども、咳以外の自覚症状として起こりうる。本人ではなく家族が気が付くこともあるので、聞き取りを行うようにする。
急性増悪について
- 急性増悪の危険性と緊急時の対応方法について説明する。
- 継続的な初期症状(発熱、乾性咳嗽、息切れ、呼吸困難)を確認し、症状発現時には迅速に受診する必要性を説明する。
+ワンポイント項目の開閉
投与・服薬指導時に留意すべきポイント
- 肺がんや呼吸器疾患をもつ患者は高齢者が多く、独居や支援者が不在の場合もあり、説明内容の理解が得られにくいことがある。また、不安や抑うつなどの精神症状を合併している場合もある。そのため、MSWや関係職種と緊密に連携をとり、患者背景を確認した上で必要な社会資源を提供することが、適切ながん薬物療法の基盤となる。
- 下記のように自覚症状をもちにくい患者もいるので、状態を確認しながら個々に合わせた説明を心掛ける。
(例) ・ 活動性が低く、息切れを自覚しない
・ 独居で、嗄声に気がつかない
・ 貧血症状があり、「息切れはいつものこと」と慣れてしまっている - 臨床現場では、患者背景や患者の訴え、ルールアウトするべき病態を意識しながら問診を行い、薬による有害事象なのかそれ以外の原因なのかを推論するスキルが求められる。
薬剤ごとに留意すべきポイント
- ブレオマイシン : 総投与量は300mg(力価)までと定められている(胚細胞腫瘍に対し、確立された標準的な他の抗がん剤との併用に当たっては360mg)。60歳以上の高齢者が発現のリスク因子となるが、それ以下の年齢でも発現する(50歳末満5.9%、50歳代8.1%、60歳代10.9%、70歳以上15.5%)。
- ゲムシタビン : 放射線増感作用があり、胸部放射線同時併用により、重篤な食道炎や肺臓炎のリスクが高まるために、同時併用は禁忌である。
- エルロチニブ : 非小細胞肺癌における全例調査の結果から、投与開始4週以内の発現が多いと考えられるが、それ以降の発現もあるため投与全期間中注意する必要がある。
- ソラフェニブ : 発症の約半数は投与2ヵ月以内。
- アファチニブ : 有害事象発現までの期間中央値は52日(範囲7日-655日)。
- セツキシマブ : 初期症状発現までの期間中央値は101日(範囲17-431日)。
- パニツムマブ : 発症の6割は投与後3ヵ月以内。リスク因子として①間質性肺疾患の既往または合併 ②男性 ③PS2以上 ④65歳以上 が示唆されている。
- mTOR阻害薬 : 発現頻度は約15%と高く、発現時には症状や重篤度に応じて休薬・中止を要する。無症候性で画像所見のみの異常であれば投与継続可能である。
- 免疫チェックポイント阻害薬(ニボルマブ) : 1ヵ月以内に発症した症例では致死率が高い傾向にある。
- 参考:
- 金岡 祐次, 吉村 知哲 監修.: がん専門・認定薬剤師のためのがん必須ポイント 第4版. じほう. 2019
Kenmotsu H, et al.: J Clin Oncol. 2017; 35(15_suppl): 9078.
急性増悪のリスクについて
- びまん性肺疾患に関する調査研究班の調査では、特発性間質性肺炎合併肺がんの治療関連性急性増悪の発症率は13.1%と報告されている。
- 間質性肺炎合併患者は抗がん薬治療により致死的な急性増悪を来しやすいため、適切なレジメン選択と、発症時の迅速な抗がん薬の中断および間質性肺炎に対する治療を必要とする。
- 参考:
- 峯岸 裕司 他.: 厚生労働科学研究費補助金難治性疾患克服研究事業 びまん性肺疾患に関する調査研究班 平成21年度研究報告書. 2010; 105-7.
Enomoto Y, et al.: Lung Cancer. 2016; 96: 63-7.
ステロイド治療時に留意すべきポイント
- 間質性肺炎の治療として、通常は長期のステロイド治療(プレドニゾロン換算20mg/日以上)が行われるため、ニューモシスチス肺炎予防としてスルファメトキサゾール・トリメトプリム(ST合剤)の併用を行う。
- 免疫チェックポイント阻害薬による間質性肺炎では、ステロイド漸減中に再燃を来す(pneumonitis flare)可能性があるため、より慎重に減量を行う必要がある。
- ステロイド性骨粗鬆症のリスクが高い場合には、ビスホスホネート製剤の併用を検討する。
- 参考:
- Limper AH, et al.: Am J Respir Crit Care Med. 2011; 183: 96-128.
Nishino M, et al.: Cancer Immunol Res. 2016; 4: 289-93.
骨粗鬆症の予防と治療ガイドライン作成委員会編集.: 骨粗鬆症の予防と治療ガイドライン 2015年度版. ライフサイエンス出版. 2015


